12501 Canyon Falls Boulevard, Ste F
Willis, TX 77318

Smile Gallery

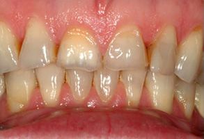
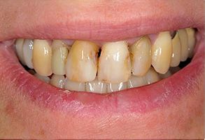
The image shows a close-up of a person's mouth with yellowish teeth, some of which appear to be decayed or damaged.

Before

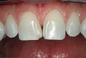
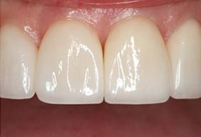
The image shows a close-up of a person's teeth with a bright smile, highlighting their dental hygiene.

After

The image displays a close-up view of two sets of teeth with yellow stains, showcasing a before and after comparison likely for dental care services.

Before

The image displays a close-up view of a person's mouth with teeth showing, revealing an oral health issue such as tooth decay or discoloration.

After

The image shows a close-up of a person's face with a focus on their mouth, which has a wide smile revealing white teeth and a small gap between the front teeth.

Before

The image shows a close-up of a person's face with a smile, displaying white teeth and a pink tongue, against a blurred background.

After

The image shows a close-up view of a person's teeth, with a focus on a dental implant with a visible screw, set against the background of a human mouth.

Before

The image shows a close-up view of a person's teeth with a focus on the lower front teeth, which appear to be white and well-maintained.

After

The image shows a close-up view of a person's teeth with visible staining and decay, emphasizing dental hygiene concerns.

Before

The image shows a close-up view of a person's teeth with a focus on the lower front teeth, which appear to be stained or discolored.

After

The image shows a close-up view of a person's teeth with a focus on dental work, specifically a large filling or crown on one tooth.

Before

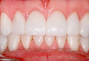
This is a close-up photograph of a person's teeth with a focus on dental hygiene, showcasing a bright smile with clean teeth and gums.

After

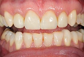
The image shows a close-up view of a person's teeth with visible signs of decay and staining, including yellowing and brown spots on the enamel.

Before

The image shows a close-up view of a person's teeth with a focus on the front teeth, which appear to be yellowed or discolored, possibly due to aging or staining.

After